Key Question Answer
Global Market Outlook
In-depth analysis of global and regional trends
Analyze and identify the major players in the market, their market share, key developments, etc.
To understand the capability of the major players based on products offered, financials, and strategies.
Identify disrupting products, companies, and trends.
To identify opportunities in the market.
Analyze the regional penetration of players, products, and services in the market.
Comparison of major players financial performance.
Evaluate strategies adopted by major players.
Recommendations
Artificial Intelligence Powered Infectious Diseases Imaging Market
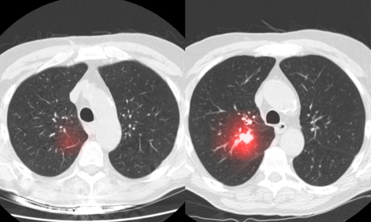
Artificial Intelligence (AI) is transforming the way infectious diseases are detected, diagnosed, and monitored across the healthcare ecosystem. From chest X-rays identifying pneumonia to CT scans assessing tuberculosis severity and AI-driven analytics supporting outbreak response, advanced imaging solutions are becoming indispensable. The AI Powered Infectious Diseases Imaging Market has emerged as a high-growth segment within the broader AI in medical imaging landscape, fueled by rising global infection rates, increasing diagnostic demand, and the need for faster clinical decision-making.
The COVID-19 pandemic acted as a catalyst, accelerating the adoption of AI-enabled radiology tools capable of detecting lung abnormalities within seconds. Today, hospitals, diagnostic centers, and public health agencies are investing heavily in intelligent imaging systems that reduce diagnostic errors, optimize workflow efficiency, and improve patient outcomes. With continuous innovation in deep learning, computer vision, and cloud-based platforms, this market is poised for sustained expansion over the coming decade.
The competitive landscape includes established healthcare technology giants, AI-focused startups, and pharmaceutical-diagnostic collaborations:
These companies are focusing on FDA-cleared AI imaging tools, partnerships with hospital networks, and expansion into emerging markets.
Infections such as tuberculosis, pneumonia, and sepsis remain major causes of mortality worldwide. The increasing caseload is pushing healthcare systems to adopt AI-powered imaging solutions that deliver faster and more reliable diagnostics.
Many regions face a critical shortage of trained radiologists. AI imaging systems act as a second reader, assisting clinicians in identifying abnormalities quickly and accurately.
Breakthroughs in deep learning algorithms and big data analytics enable AI platforms to detect subtle imaging patterns invisible to the human eye. Continuous improvements in processing power and cloud integration further enhance scalability.
COVID-19 demonstrated the value of AI triage systems capable of rapidly screening large patient volumes. Governments and healthcare providers are now investing in AI infrastructure to prepare for future outbreaks.
Initial investment in AI infrastructure, integration with hospital systems, and staff training can be expensive, particularly for smaller healthcare facilities.
AI diagnostic tools must undergo rigorous regulatory approvals to ensure safety and accuracy. Compliance with evolving healthcare regulations can delay commercialization.
The use of large imaging datasets raises concerns about patient data security and cross-border data transfer regulations.
While AI offers transformative potential, limited digital infrastructure in developing countries may slow adoption rates.
Combining imaging data with clinical and genomic information can create powerful predictive tools for early infection detection and personalized treatment planning.
Asia-Pacific, Latin America, and Africa present significant untapped potential due to growing healthcare investments and high infectious disease prevalence.
Cloud-based AI platforms enable remote image analysis, improving access to specialist expertise in underserved areas.
Real-time imaging analytics can support outbreak detection and epidemiological modeling at national and global levels.
AI systems are evolving to tailor diagnostics based on patient demographics, medical history, and genetic data.
Transparency in AI decision-making is gaining importance, helping clinicians trust and validate algorithmic outputs.
Portable AI-enabled imaging devices are being used in field hospitals and rural settings, reducing reliance on centralized infrastructure.
AI imaging platforms are increasingly connected to wearable devices and IoT sensors for continuous patient monitoring.




These innovations highlight how AI systems assist radiologists in detecting lung infections, prioritizing urgent cases, and enhancing workflow efficiency.
The AI Powered Infectious Diseases Imaging Market stands at the intersection of technology and healthcare innovation. As AI continues to evolve, its ability to detect infections earlier, guide treatment decisions, and strengthen global outbreak preparedness will make it an essential pillar of modern medicine.
Frequently Asked Questions (FAQs)
Provide your email to get email notification when we publish new reports.